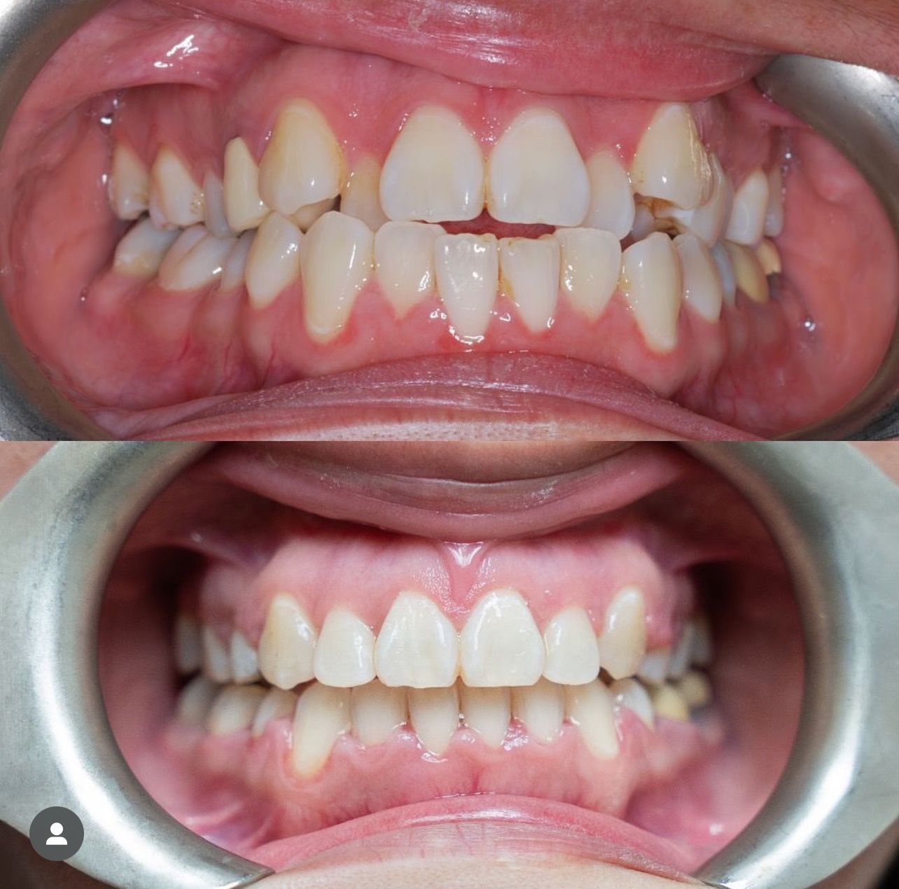
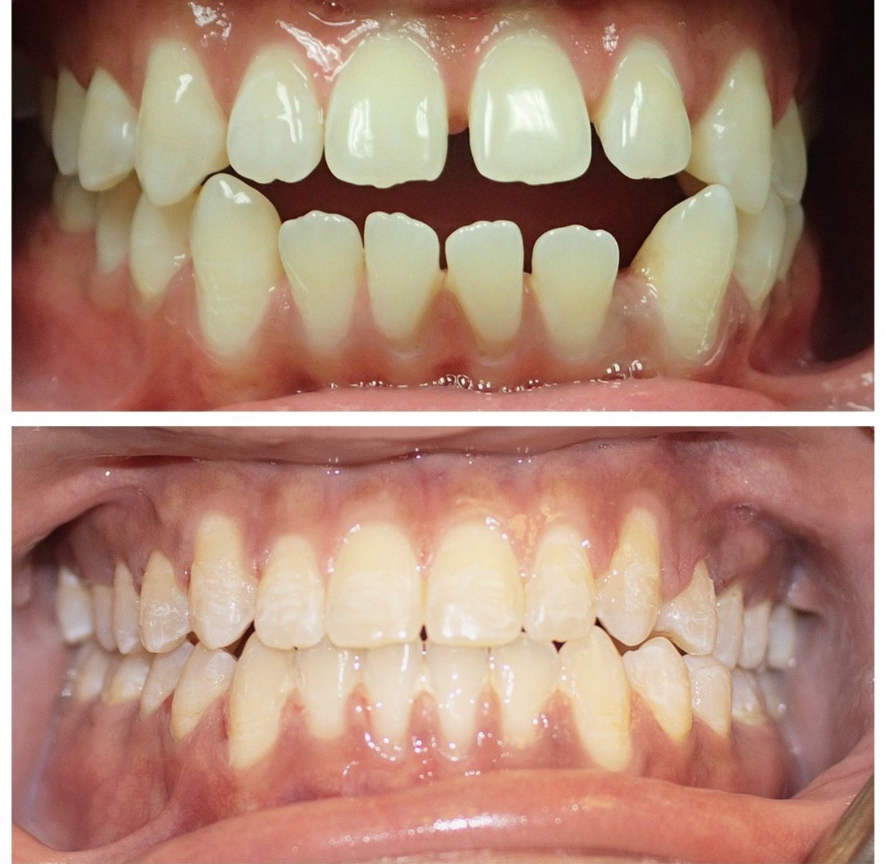
Smile Gallery
Broadway Dental Associates PA
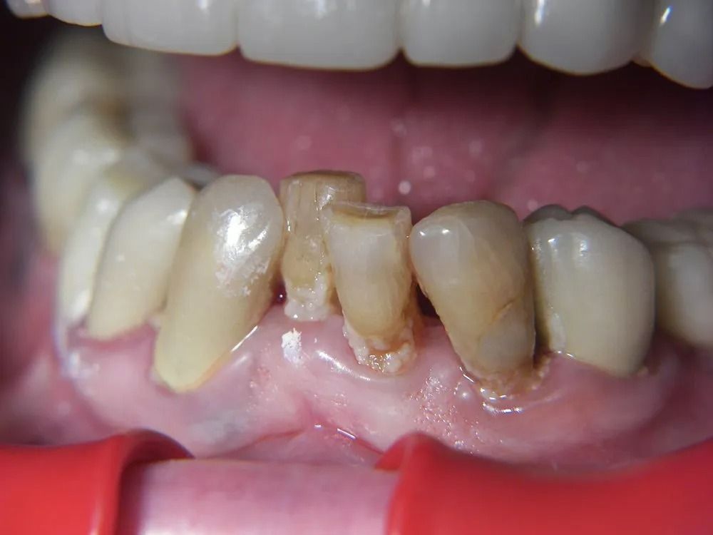
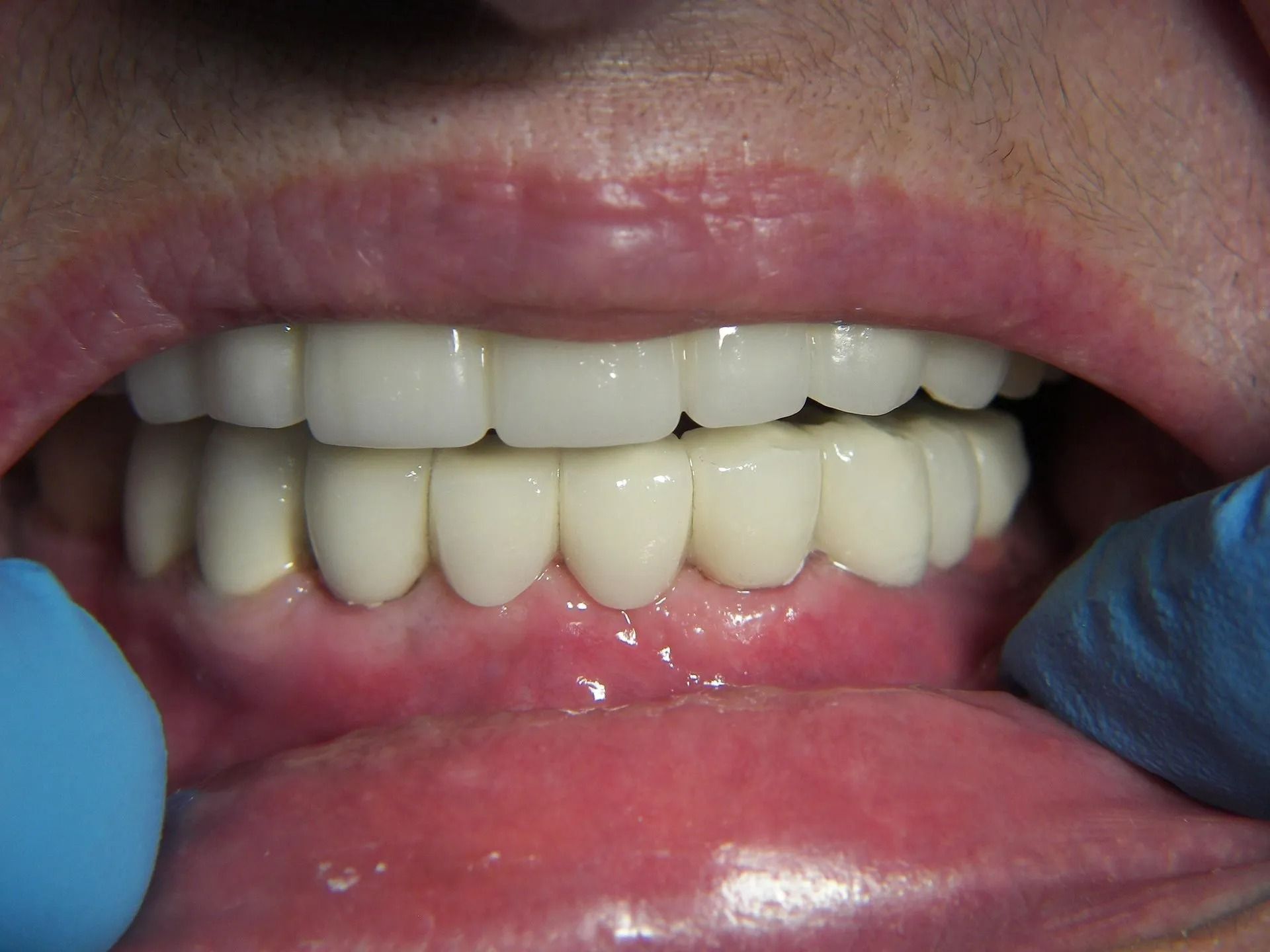
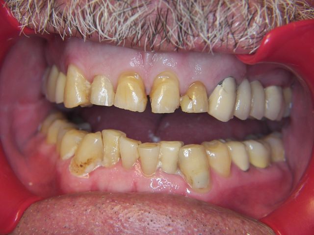
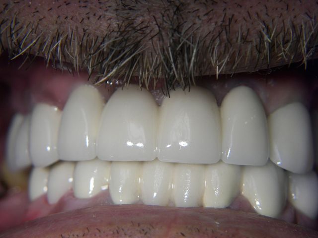
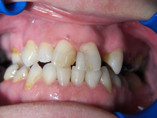
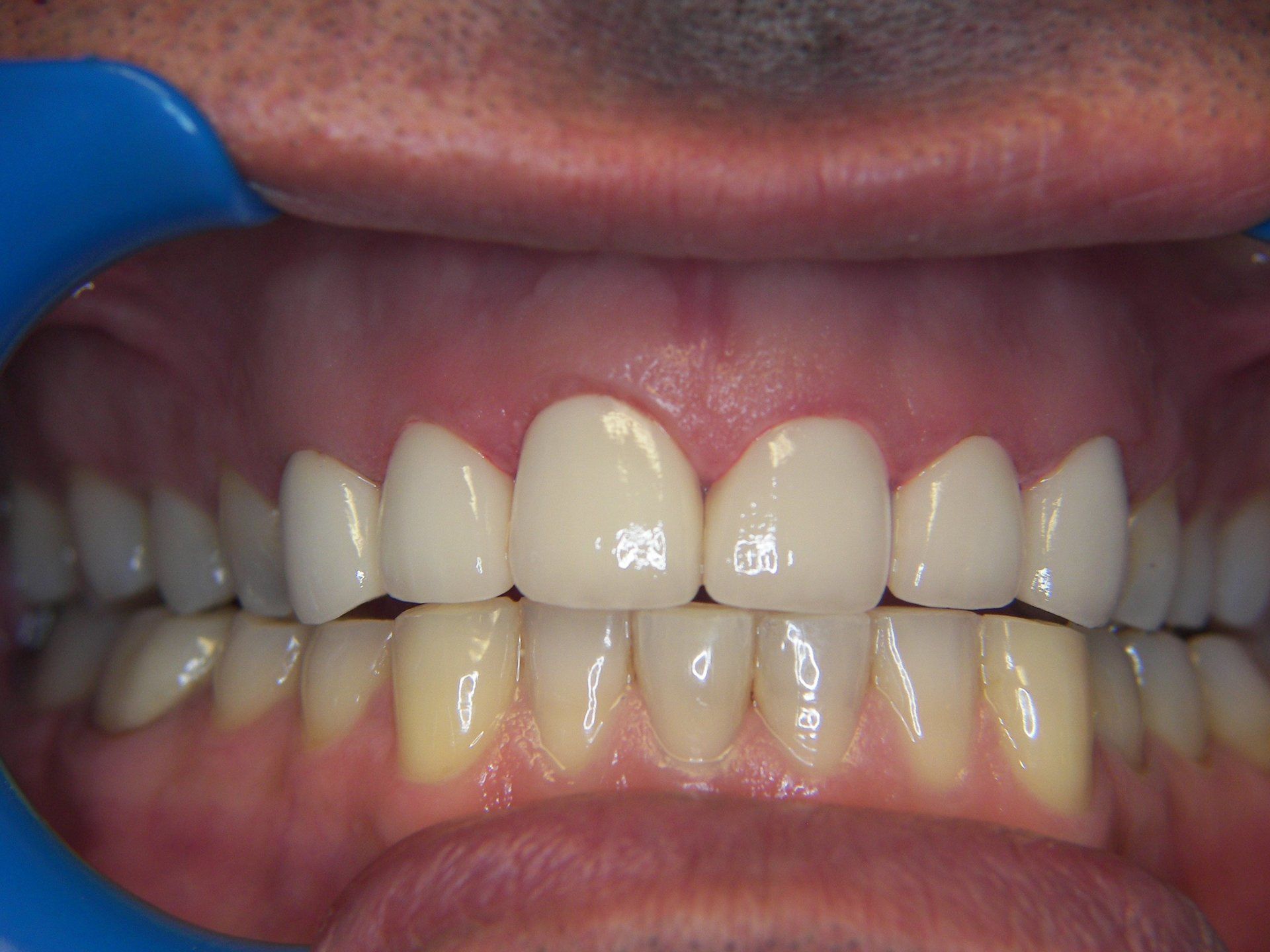
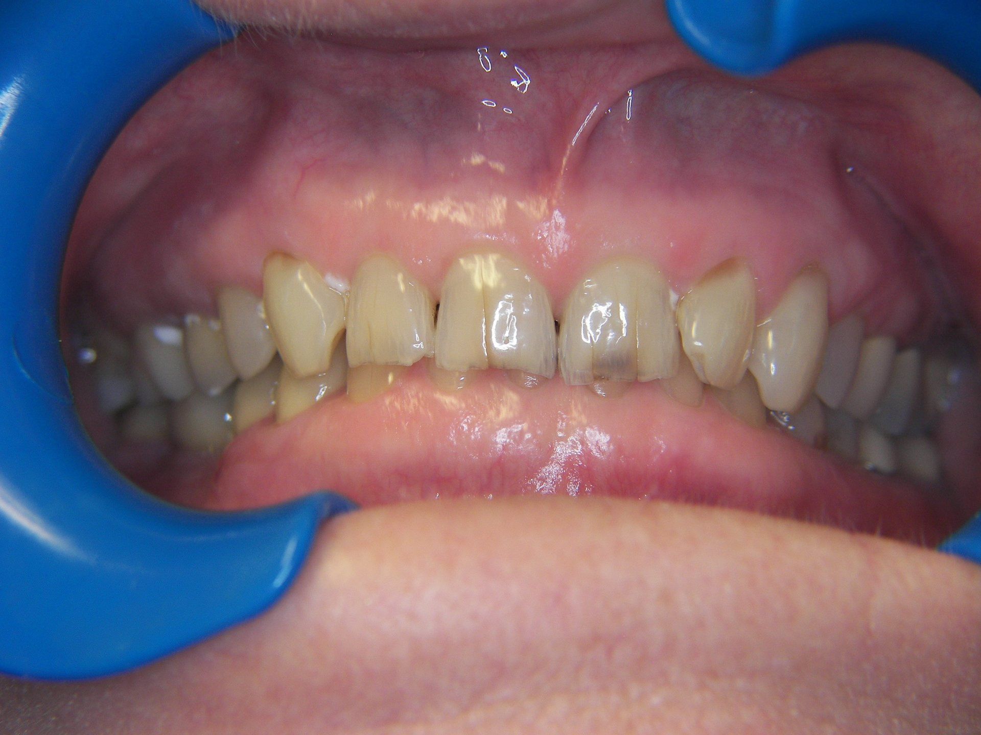
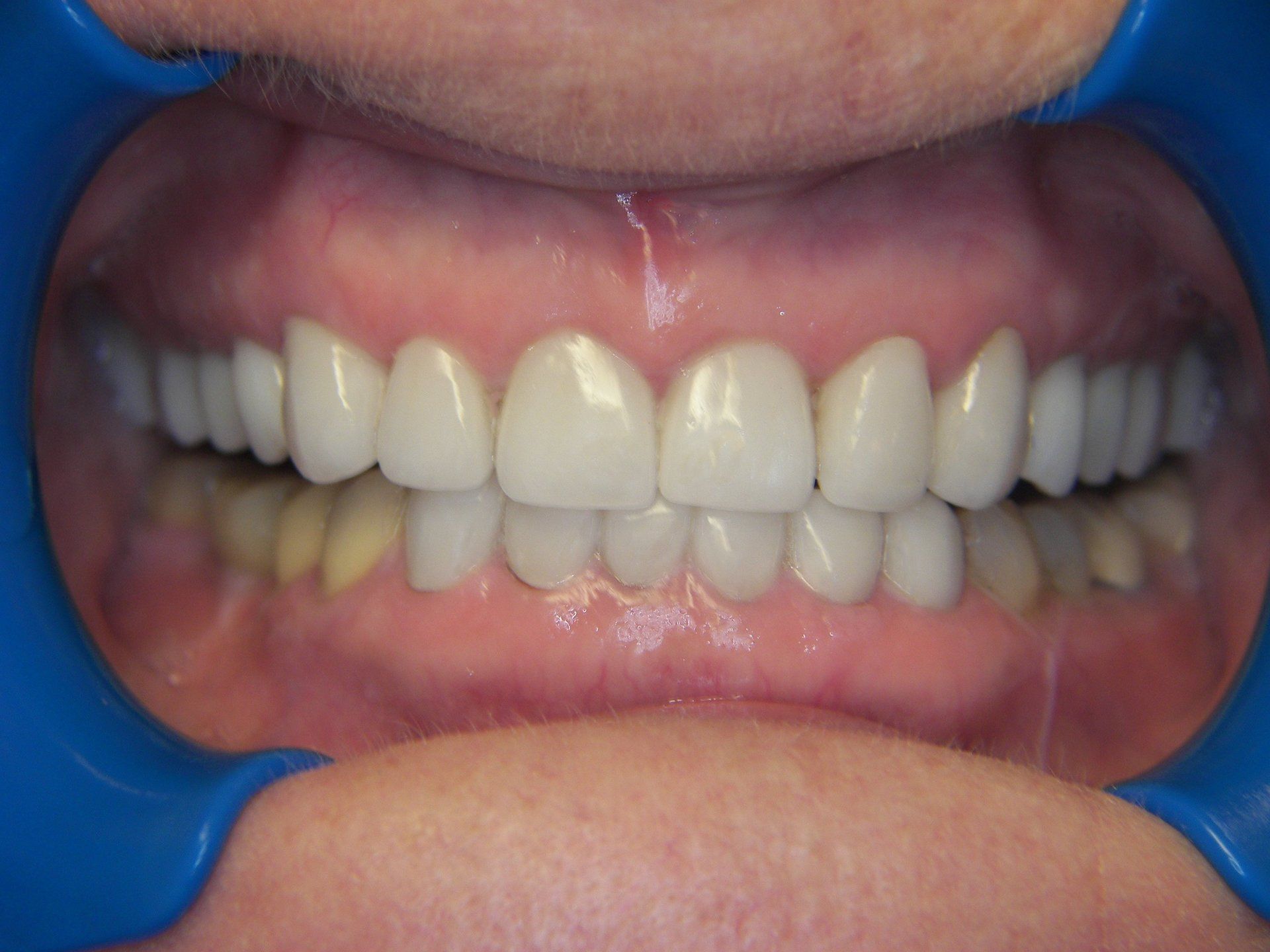
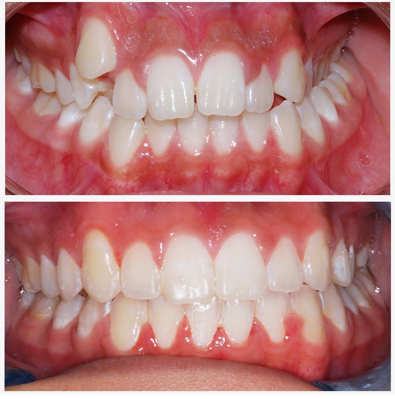
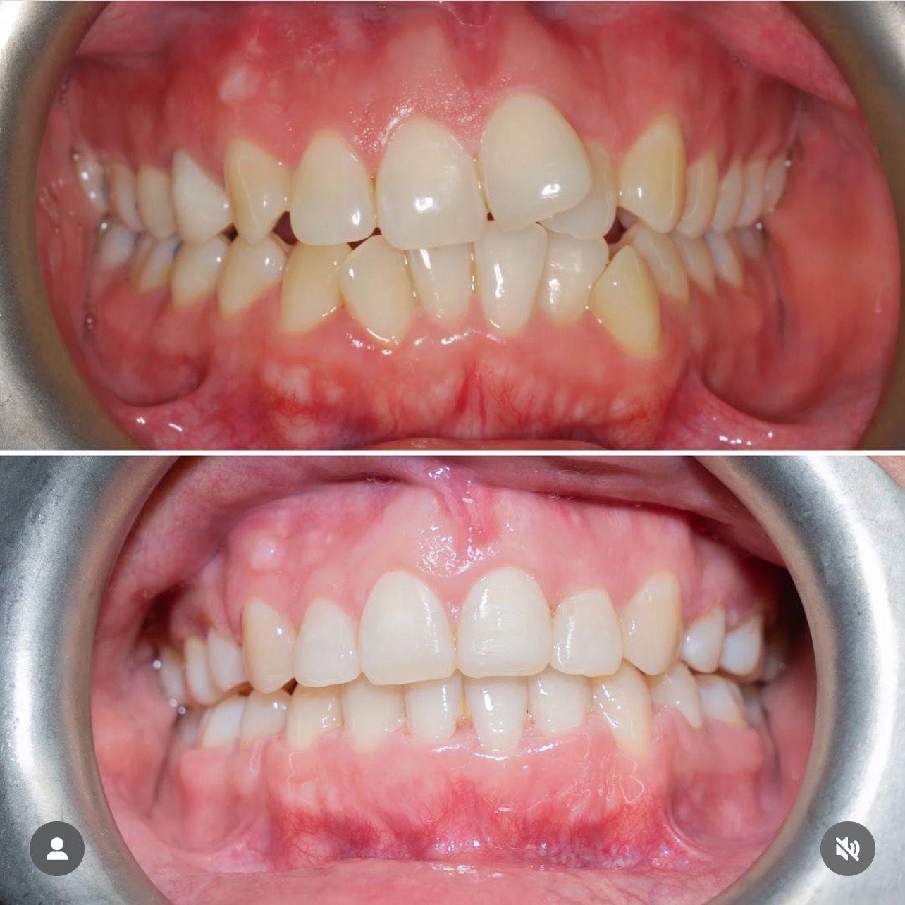
Take a Look at our Portfolio of Beautiful Smiles
The team of professional dentists and technicians at Broadway Dental Associates PA has over 30 years of experience helping patients to get their healthiest, most beautiful smiles. Take a look at our gallery of transformations below, and request a call back from
Broadway Dental Associates today!

































Share On: